Skip to content

Epilepsy

Since 2000, Everest Biotech has been designing a catalogue containing thousands of goat antibodies against a broad range of human, mouse and rat proteins of biomedical interest.
Everest Biotech’s commitment to quality and continuous improvement has been recognised with ISO 9001:2015 accreditation. Everest Biotech customers can be assured they will receive high quality products and excellent customer service.

Epilepsy is a neurological disorder defined by seizures, resulting from the disruption of normal brain function. The seizures, unprovoked or reflex, are often recurrent; with recurrence risk at approximately 60% for both types. Epilepsy can be caused by brain trauma/ injury, structural lesions or genetics. There are several biomarkers involved, including TLR4 and syngap1, which can be utilized in the development of future treatment.

Please see our epilepsy products below, and please find our epilepsy flyer here

EB10781 (2µg/ml) staining of paraffin embedded Human Cerebellum. Microwaved antigen retrieval with citrate buffer pH 6, HRP-staining.
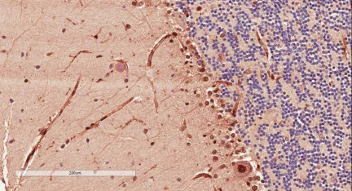
EB10781 Negative Control showing staining of paraffin embedded Human Cerebellum, with no primary antibody.
EB11147 Immunofluorescence analysis of paraformaldehyde fixed Neuro-2a cells, permeabilized with 0.15% Triton. Primary incubation 1hr (10ug/ml) followed by Alexa Fluor 488 secondary antibody (2ug/ml), showing membrane and cytoplasmic staining. The nuclear stain is DAPI (blue). Negative control: Unimmunized goat IgG (10ug/ml) followed by Alexa Fluor 488 secondary antibody (2ug/ml).

Antibodies for Epilepsy

Everest CodePrincipal NameApplications TestedSpecies ReactivitySize Available
EB05419Goat Anti-AIF1/IBA1 isoform 1 and 3 AntibodyPep-ELISA, WB, IHCHuman, Mouse, Rat, Pig100µg/200µl
EB05433Goat Anti-ARPC2 AntibodyPep-ELISA, IF, IHC, WBHuman, Mouse, Rat, Dog, Cow100µg/200µl
EB09983Goat Anti-CLCN2 AntibodyPep-ELISA, WBHuman, Mouse, Rat, Dog, Cow100µg/200µl
EB09984Goat Anti-CLCN2 AntibodyPep-ELISA, IHCHuman, Mouse, Rat100µg/200µl
EB07258Goat Anti-Doublecortex / DCX AntibodyPep-ELISA, WB, IHC, IFHuman, Mouse, Rat, Dog, Cat100µg/200µl
EB10781Goat Anti-Doublecortin / DCX (aa232-242) AntibodyPep-ELISA, IF, IHCHuman, Mouse, Rat, Dog, Pig, Cow100µg/200µl
EB10782Goat Anti-Doublecortin / DCX (aa69-81) AntibodyPep-ELISA, IF, IHC, FCHuman, Cow100µg/200µl
EB11313Goat Anti-GRIN2A (aa211-224) AntibodyPep-ELISA, IFHuman, Mouse, Rat, Dog100µg/200µl
EB07221Goat Anti-Hamartin / TSC1 (isoform 1) AntibodyPep-ELISA, WB, IHCHuman, Mouse, Rat, Dog100µg/200µl
EB09295Goat Anti-LIMP2 / SCARB2 AntibodyPep-ELISA, WB, IHC, IF, FCHuman100µg/200µl
EB07328Goat Anti-Serotonin receptor 3A / HTR3A AntibodyPep-ELISA, FC, IHC, ICCHuman100µg/200µl
EB11147Goat Anti-SYNGAP1 (aa1169-1183) AntibodyPep-ELISA, WB, IHC, IFHuman, Mouse, Rat, Dog, Pig, Cow100µg/200µl
EB09441Goat Anti-TLR4 / CD284 AntibodyPep-ELISA, IF, IHC, FCHuman, Mouse, Rat100µg/200µl